La condrocalcinosis o imágen radiológica producida por el depósito de pirofosfato se aprecia característicamente en el ligamento triangular del carpo, la rodilla y la sínfisis del pubis.
Proyección anteroposterior de la muñeca que muestra :1) calcificación del ligamento triangular del carpo 2) calcificación en el cartilago hialino entre el hueso semilunar y el piramidal.

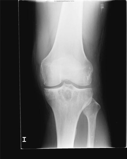
Proyección Anteroposterior de rodilla que muestra: 1) calcificación en cuña del menisco 2) calcificación en cuña siguiendo en paralelo al cóndilo femoral.
El espacio articular se encuantra conservado, nótese las radiodensidades con distribución punteada o lineal.

Proyección Anteroposterior de la pelvis: 1) depósito de pirofosfato cálcico en la sínfisis del pubis 2) Depósitos en la articulación coxofemoral con esclerosis subcondral y presencia de osteofitos.


